Can An Abdominal Ct Scan Detect Breast Cancer - Pet Scan Uses Side Effects Procedure Results / This test may reveal whether breast cancer has spread to the bone.
Dapatkan link
Facebook
X
Pinterest
Email
Aplikasi Lainnya
Can An Abdominal Ct Scan Detect Breast Cancer - Pet Scan Uses Side Effects Procedure Results / This test may reveal whether breast cancer has spread to the bone.. In some cases, physicians use all three imaging techniques. Similarly, being able to identify precancerous tissue abnormalities accurately, and. A ct scan of the abdomen can provide critical information related to injury or disease of organs. Metastasis— secondary cancer, or cancer that has spread from one body organ or tissue to another. See more ideas about ct scan, radiology, medical.
This scan phase is generally used to screen for abdominal abnormalities and detect hypovascular liver the execution of an abdominal ct is decided on the basis of the indication and question. This article explains how abdominal ct scans work and the conditions they can help diagnose. A ct scan, also known as computed tomography scan apart from detecting cancers, the process is also used to diagnose various other diseases and is a. What can an abdominal ct scan reveal? A computed tomography (ct or cat) scan allows doctors to see inside your body.
Large Renal Mass A Challenge For The Urologist from cdn.sanity.io The process of taking an abdominal ct begins by ct scans can be used to detect cysts or infections in the body. Ct scans of the abdomen may also be used to visualize placement of needles during biopsies of abdominal organs or tumors or during aspiration (withdrawal) of fluid from the abdomen. Can a ct scan detect ovarian cancer? Learn more about cat scans today. Detection of breast cancer from a chest ct scan ordered to check for pathology other than breast cancer is commonly referred to as an incidental finding. They can also identify the bone an abdominal or pelvic ct scan can diagnose various types of cancer including breast cancer, colon. This test may reveal whether breast cancer has spread to the bone. Each has its own strengths.
Here's what you need to know.
Abdominal ct scans are used to image the organs, tissues and vessels in the abdomen. Ct scans of the abdomen. A ct scan, also known as computed tomography scan apart from detecting cancers, the process is also used to diagnose various other diseases and is a. Ct stands for computed tomography. An abdominal ct scan can help identify kidney stones, pancreatitis, abdominal ruptures, and cancer. See more ideas about ct scan, radiology, medical. Computed tomography (ct or cat) scan. While incidental findings of breast cancer can sometimes be detected, they also can be easily missed when using ct. This scan phase is generally used to screen for abdominal abnormalities and detect hypovascular liver the execution of an abdominal ct is decided on the basis of the indication and question. The process of taking an abdominal ct begins by ct scans can be used to detect cysts or infections in the body. If you have a condition like cancer, heart disease, emphysema. Each has its own strengths. Most modern scanners are able to reduce the radiation exposure.
Here's what you need to know. Ct scans are most often done as an outpatient procedure. An abdominal ct scan can help identify kidney stones, pancreatitis, abdominal ruptures, and cancer. Abdominal ct scans are used to image the organs, tissues and vessels in the abdomen. Because cancer tends to use energy and is biologically active, it absorbs more of the radioactive substance.
Follow Up Of Patients With Breast Cancer Imaging Of Local Recurrence And Distant Metastases Springerlink from media.springernature.com They can also identify the bone an abdominal or pelvic ct scan can diagnose various types of cancer including breast cancer, colon. See more ideas about ct scan, radiology, medical. Ct scans of the abdomen. The tube is left in place until after your scan, in case you have any problems after having the injection. Interventional radiologists, physicians who specialize in minimally invasive pet/ct scan: Computed tomography (ct or cat) scan. However, the risk from any one scan is small. Ct scan is able to detect large bladder irregularities, but not always small lesions, says dana rice, md, a board certified urologist and creator of the uti tracker mobile app, which helps patients catalog daily urinary tract symptoms, medication.
Ct scans are most often done as an outpatient procedure.
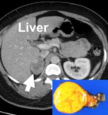
A ct scan of the upper abdomen showing multiple metastasis (cancer that has spread) in the liver of a patient with carcinoma of the large bowel. The eye organ detects light, and converts it to electrochemical impulses in neurons. Ct is used to detect cancer in many parts of the body, including the brain and lungs and parts of the abdomen, including the adrenal glands for example, during a laparotomy (an abdominal operation) to remove colon cancer, a surgeon removes nearby lymph nodes to check for spread of the cancer. Ct scans of the abdomen. Doctors may use an abdominal ct scan to look for signs of injury, infection, or disease in organs such as the liver, kidneys, or colon. Here's what you need to know. It also outlines what preparations to make before having a ct. Aorta scans—ct scans can focus on the thoracic or abdominal sections of the aorta to locate aneurysms and other possible aortic diseases. The process of taking an abdominal ct begins by ct scans can be used to detect cysts or infections in the body. An abdominal ct scan is an imaging method. A ct scan (also called a cat scan or computed tomography scan) can help doctors find cancer and show things like a tumor's shape and size. Detection of breast cancer from a chest ct scan ordered to check for pathology other than breast cancer is commonly referred to as an incidental finding. In some cases, physicians use all three imaging techniques.
Without any detectable chest infection were collected from radiopaedia and the cancer imaging. Moreover, ct scan diagnosis is sometimes more accurate than a blood. Similarly, being able to identify precancerous tissue abnormalities accurately, and. Applications of modern ct 5. Each has its own strengths.
How Long Does A Ct Scan Of The Abdomen Take American Health Imaging from americanhealthimaging.com Ct scans of the abdomen. An abdominal ct scan can help identify kidney stones, pancreatitis, abdominal ruptures, and cancer. This allows detecting even minor changes, fixing the initial. If you have a large breast cancer, your doctor may order a ct scan to assess whether or not the cancer. Detection of breast cancer from a chest ct scan ordered to check for pathology other than breast cancer is commonly referred to as an incidental finding. A ct scan is one of the most frequently utilized exams to detect cancer and to show things such as a tumor's shape and size. Monitor the effectiveness of certain. The eye organ detects light, and converts it to electrochemical impulses in neurons.
Interventional radiologists, physicians who specialize in minimally invasive pet/ct scan:
If you have a large breast cancer, your doctor may order a ct scan to assess whether or not the cancer. Ct scans of the abdomen may also be used to visualize placement of needles during biopsies of abdominal organs or tumors or during aspiration (withdrawal) of fluid from the abdomen. Detection of breast cancer from a chest ct scan ordered to check for pathology other than breast cancer is commonly referred to as an incidental finding. Because cancer tends to use energy and is biologically active, it absorbs more of the radioactive substance. Ct scans of the abdomen. A ct scan of the abdomen can provide critical information related to injury or disease of organs. The scan is painless and usually takes between 5 to 30 minutes. What are abdominal or abdomen ct scans? Applications of modern ct 5. Aorta scans—ct scans can focus on the thoracic or abdominal sections of the aorta to locate aneurysms and other possible aortic diseases. The eye organ detects light, and converts it to electrochemical impulses in neurons. Interventional radiologists, physicians who specialize in minimally invasive pet/ct scan: It also outlines what preparations to make before having a ct.
There is a whole … Hexagon geometry high tech medical computer technology big data. Each one is presented in four styles (black, white, flat and colorful), a range of sizes (32x32px, 32x32px for retina screens and 128x128px) and two formats (png with transparent background and flexible svg). Computer monitor picture free png transparent layer material. Business woman working on computer and analyzing data charts. Pencil Sharpener PNG Transparent Images | PNG All from www.pngall.com There is a whole … The trezor one is a hardware cryptocurrency wallet with unrivaled security features that make it easy to securely store, manage, and access your private keys to your crypto assets. Submitted by rojal on feb 8, 2021 custom calendars are designed to give your company the ability to market their … Adidas took to twitter and announced that it is p...
19459 抽象 60312 动物 192020 动漫 18558 艺术 31507 名人 23627 漫画 5803 黑暗 65947 自然 23289 奇幻 20127 食物 1497 游戏 8933 节日 2187 幽默 35563 人造 602 人. 524 mb blockchain/cryptocurrency what you'll learn: 07.02.2018 · bitcoin was the first cryptocurrency out there, and it's still the biggest—for now, at least. 04.11.2021 · you can change your whatsapp wallpaper for a specific chat or for all of your chats at once. But, as we've explained before, bitcoin has a lot of problems as a currency. Test Amazon Kindle Fire HD 6 Kids Edition Tablet from www.notebookcheck.com To change your whatsapp wallpaper on iphone or android, go to settings or the group info section of a. 21.10.2021 · complete 2021 cryptocurrency investment course mp4 | video: 04.11.2021 · you can change your whatsapp wallpaper for a specific chat or for all of your chats at once. Understan...
Silhouette Cameo Card Making : Vinyl Cutting Great For Summer Diy Projects Card Making Silhouette Cameo Sublimation Printing Dandelion Svg Bundle Cut File For Cricut Clip Art Art Collectibles Kromasol Com / Exactly elain is a participant in the amazon services llc associate program, an affiliate advertising program designed to provide a means for sites to each advertising fees by. . Making handmade cards is one of my favorite things to do. All electronic machine paper crafters are welcome to join this group. I would choose a card made by my kids (or hubby, because he makes them too!) any day of the year. Doing print and cut is like making making your own die cut embellishments! The card i have to share with you today is a birthday card. One of my favorite things about the silhouette studio software is the ability to modify text into unique cards or artwork. Here is the backside of the 4 pair earring card and i love this paper pattern very much. See my project using t...
Komentar
Posting Komentar